Đồng sáng lập Steve Wozniak: Apple nên nộp nhiều thuế hơn
TTO - Steve Wozniak cho rằng công ty Apple - nơi ông sáng lập cùng với Steve Jobs và Ronald Wayne vào năm 1976 - nên trả một mức thuế suất 50%.
TTO - Steve Wozniak cho rằng công ty Apple - nơi ông sáng lập cùng với Steve Jobs và Ronald Wayne vào năm 1976 - nên trả một mức thuế suất 50%.
Cập nhật tin tức, sự kiện nóng nhất xung quanh vấn đề du an lavila được bạn đọc quan tâm nhất trên Tuổi Trẻ Online
Cập nhật tin tức, sự kiện nóng nhất xung quanh vấn đề taxi vinasun được bạn đọc quan tâm nhất trên Tuổi Trẻ Online
Theo TS Nguyễn Hồng Phương, nếp nhà là trái tim của gia đình, di sản từ quá khứ. Có những nếp nhà tốt đẹp cần tiếp tục giữ lại và phát triển, nhưng có những điều không còn phù hợp với thời đại thì phải can đảm thay đổi.
Đến hẹn lại lên, cứ vào mùa nắng nóng, những bức xúc vì hóa đơn tiền điện tăng cao lại rộ lên. Vấn đề là ta đã thực sự quan tâm tiết kiệm điện đúng cách chưa? Và khi có thắc mắc thì nên làm gì?
Cập nhật tin tức, sự kiện nóng nhất xung quanh vấn đề bo truong bo cong thuong được bạn đọc quan tâm nhất trên Tuổi Trẻ Online
TTO - Cá lau kiếng giờ đây đã không còn xa lại với người dân miền Tây nữa. Từ một sinh vật ngoại lai có nguy cơ làm ảnh hưởng đến sự cân bằng sinh thái, giờ đây cá lau kiếng thường xuyên xuất hiện trên bàn ăn.
Mưa lớn đã khiến đất đá sạt lở bịt lối thoát nước gây ngập một đoạn đường đang thi công, làm giao thông trên đèo An Khê bị ách tắc.
Milton, Helene, Yagi - nhiều cơn siêu bão xuất hiện liên tục trong thời gian qua và tàn phá dữ dội, nguyên nhân do đâu?
Cập nhật tin tức, sự kiện nóng nhất xung quanh vấn đề ung xu được bạn đọc quan tâm nhất trên Tuổi Trẻ Online
Nhiều người mua căn hộ tại chung cư nhà ở xã hội Bàu Tràm Lakeside (quận Liên Chiểu, TP Đà Nẵng) phản ánh việc chủ đầu tư yêu cầu họ nộp lại bản gốc hợp đồng mua bán để làm thủ tục cấp sổ hồng.
TT - Lần đầu tiên lên bệnh viện thành phố khám bệnh nghe thật “sang” nhưng trong lòng con lại đầy cảm giác lo sợ trên chuyến xe khách hôm ấy.
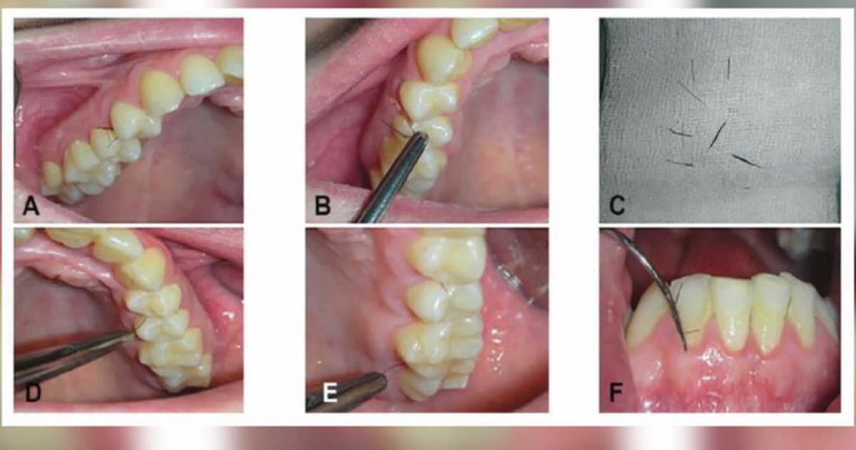
Một ca bệnh siêu hiếm gặp mang tên gingival hirsutism hay còn gọi là
Cập nhật tin tức, sự kiện nóng nhất xung quanh vấn đề bo xay dung được bạn đọc quan tâm nhất trên Tuổi Trẻ Online
TTO - Thiếu nợ ngân hàng khi chơi chứng khoán, nam thanh niên ở thị xã Hoàng Mai, Nghệ An vờ hỏi mua dây chuyền ở tiệm vàng rồi thực hiện hành vi cướp giật.
Cập nhật tin tức, sự kiện nóng nhất xung quanh vấn đề tinh trang dinh duong được bạn đọc quan tâm nhất trên Tuổi Trẻ Online
Cập nhật tin tức, sự kiện nóng nhất xung quanh vấn đề dien gio bac lieu được bạn đọc quan tâm nhất trên Tuổi Trẻ Online
Cập nhật tin tức, sự kiện nóng nhất xung quanh vấn đề tong giam doc vietinbank được bạn đọc quan tâm nhất trên Tuổi Trẻ Online